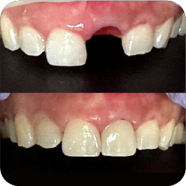
ทำรากฟันเทียมที่
คลินิกทันตกรรม บี.เอ
อายุการใช้งาน
ที่ยาวนาน
ได้รับการดูแลจาก
ทันตแพทย์มาก
ประสบการณ์ และทีมงาน
ที่เชี่ยวชาญ
ทันตแพทย์มาก
ประสบการณ์ และทีมงาน
ที่เชี่ยวชาญ
ได้รับการดูแลจาก
ทันตแพทย์มาก
ประสบการณ์ และทีมงาน
ที่เชี่ยวชาญ
ทันตแพทย์มาก
ประสบการณ์ และทีมงาน
ที่เชี่ยวชาญ
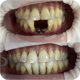
รากฟันเทียมประกอบด้วย

ครอบฟัน
(Crown)
ส่วนที่อยู่ด้านบน
ของเหงือกทำมาจากเซรามิก
มีรูปร่างและสีเหมือนฟันธรรมชาติ

เดือยรองรับครอบฟัน
(abutment)
ส่วนต่อขึ้นมาจากรากฟันเทียมเพื่อ
รองรับการครอบฟัน ใส่เมื่อรากฟันเทียม
ยึดติดกับกระดูกดีแล้ว

รากฟันเทียม
(Screw)
ทำจากโลหะไทเทเนียมลักษณะ
คล้ายรากฟัน ฝังในกระดูกขากรรไกร
สามารถยึดติดได้อย่างแน่นสนิท





